|
|
| |
CROOKED TEETH DENTAL BRACES |
|
|
| |
The whole concept of correcting any kind of irregularities in our teeth or jaw is called orthodontics. WOW! Captivating smile, it costs nothing but brightens one's day. Among your friends, family and acquaintances very few are aware of latest techniques and trends in orthodontics. Orthodontic treatment deals with correction of irregular teeth. Depending on the needs we treat the patients with either removable or fixed braces. A variety of braces from conventional to highly cosmetic braces are available. Cosmetic braces( ceramic braces) with thin wire, mini diamond, coloured, golden etc are now highly popular and imported from U.S.A.
WE ALSO TREAT OUR PATIENTS WITH INVISALIGN...........
WHAT IS INVISALIGN?
Invisalign is the best way to change your smile and looks without actually disturbing your day to day life. We have found that invisalign is still unknown to the people. well, Invisalign treatment consists of series of invisible or clear aligners that we make specially for you. Yes, Invisaligners will be custom made for you only. and then depending upon your alignment of teeth and your cosmetic requirement, we change the aligners every two-three weeks. there are other alternatives to invisalign as well which are normally called aligners.
WE ARE A SPECIAL SETUP FOR THESE KIND OF ADVANCE DENTAL TREATMENTS LIKE INVISALIGN
|
|
| |
|
|
| |
|
|
|
| |
|
|
| |
It is embarrassing to have uneven teeth and all the more to wear conventional braces. Let Dr. Jay Mehta assist you to select a brand new design that suits your face and your life style.
|
|
| |
|
|
| |
 |
|
| |
|
|
| |
DOCTOR'S WORDS: Correction of the crooked teeth not only requires the art and knowledge but also the foresight to predict the results. Orthodontic treatment is a misconception among many patients that I come across. Very commonly, patients are anxious and bit worrid to start the treatment as they have learnt many wrong things from their relatives who have undergone orthodontic treatment somewhere else. They have learnt that once the orthodontic treatment starts, they were referred to many other dental surgeons to get some or the other kind of dental treatment required apart from correcting the irregular teeth.
|
|
| |
|
|
| |
Orthodontic treatment is basically a team work which requires great coordination, thorough knowledge and extraordinary foresight to predict next step result and accordingly plan the treatment. We plan this under one roof and treat the patients under one roof of DENTAL CARE "N" IMPLANT CLINIC. Yes, our patients need not go somewhere else to get any kind of dental treatment. We provide everything at our place.
|
|
| |
|
|
| |
BELIEVE US, AS YOU CAN ASK ANY ONE, THAT WE HAVE THE BEST TEAM WORK IN CASE OF ORTHODONTIC TREATMENT.
|
|
| |
|
|
| |
Orthodontic treatment in U.S.A costs around 4000 to 5000 U.S. $. compared to that the same treatment is available at our place at a very affordable rates. Also you can get the treatment started here and get finished there. That will approximately save your 3000-3500 U.S. $. As many of our patients in U.S.A or U.K. do the same thing by contacting us via e-mail, sending us their dates of visiting India . We require only one week to get the braces fixed in your mouth.Orthodontic treatment can be started around the age of 9-10 years and we have also treated many patients above the age of 40 years. So age is not a big barrier for this kind of treatment.
|
|
| |
|
|
| |
SO, IF YOU WANT TO HAVE BETTER LOOKS, BETTER CONFIDENCE AND PERFECTION IN YOUR SMILE, JUST DROP IN AT OUR PLACE. |
|
| |
|
|
| |
 |
REGULAR METAL BRACES USING AMERICAN TECHNIQUE. |
|
| |
|
|
| |
 |
CERAMIC (COSMETIC) BRACES IN A 48 YEAR OLD LADY.
INVISIBLE BRACES AS ROUTINELY CALLED.
|
|
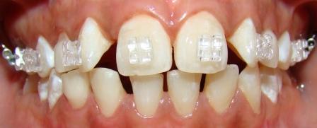
THE LATEST BRACES CALLED THE ICE BRACES. IF YOU WANT TO SEE THE LATEST TECHNOLOGY AND THE LATEST TREATMENTS, MAKE SURE THAT YOU VISIT US....................

we have the best and the latest treatments, concepts and approach towards orthodontic treatmetns. And more importantly, we believe in long term relations than just merely treating the patients.
|